Gigi Geraham Berlubang : .gigi sensitif, tumbuhnya gigi bungsu geraham, gigi retak, hingga masalah kesehatan gigi lainnya.

Gigi Geraham Berlubang : .gigi sensitif, tumbuhnya gigi bungsu geraham, gigi retak, hingga masalah kesehatan gigi lainnya.. Gigi berlubang sudah menjadi masalah umum di masyarakat. Hal ini dikarenakan masih banyak yang takut untuk berkunjung ke dokter gigi untuk periksa gigi secara rutin. Gigi bungsu merupakan gigi geraham ketiga dan geraham terakhir yang tumbuh. Malam dok, saya ingin bertanya gigi geraham saya yang bawah bolong dan menyebabkan rasa sakit. Proses tambal gigi bolong ini tidak sakit, hanya sedikit ngilu.

Geraham merupakan gigi yang paling sering berlubang (thinkstock/alliance). Untuk anda yang sering mengalami sakit gigi. Padahal, hal ini sangat berisiko bila tak segera jangan salah kaprah! Penambalan gigi berlubang disertai perawatan dapat membantu gigi berfungsi kembali tindakan pencabutan gigi perlu dilakukan pada kondisi gigi geraham bungsu yang berlubang, serta. Bahaya cabut gigi geraham atas dan bawah.

Cara Mengobati Gigi Berlubang Dengan Pijatan Di Sembilan Titik Ini Lampung Co
Cara Mengobati Gigi Berlubang Dengan Pijatan Di Sembilan Titik Ini Lampung Co from gambar.lampung.co
Gigi susu berlubang bisa berbahaya bagi anak. Hayo siapa yang giginya berlubang dan terkadang nyeri? Penambalan gigi berlubang disertai perawatan dapat membantu gigi berfungsi kembali tindakan pencabutan gigi perlu dilakukan pada kondisi gigi geraham bungsu yang berlubang, serta. Mengapa gigi kita berlubang subscribe channel pt. Hal ini dikarenakan masih banyak yang takut untuk berkunjung ke dokter gigi untuk periksa gigi secara rutin. Akibat gigi berlubang beberapa obat ini bisa menjadi. Gigi geraham bungsu sangat rentan berlubang, karena sulit dijangkau dengan sikat gigi. Sakit gigi akibat gigi berlubang mungkin sangat menyakitkan.

Untuk anda yang sering mengalami sakit gigi.

Gigi premolar dan gigi geraham yang notabene merupakan gigi bagian belakang lebih rentan berlubang. Karena gigi geraham kerjanya paling berat. Permasalahan gigi susu berlubang masih banyak dialami si kecil. Sakit karena gigi berlubang tergantung pada tingkat keparahannya, sehingga mengatasi gigi berlubang pun tergantung kondisi. Penambalan gigi berlubang disertai perawatan dapat membantu gigi berfungsi kembali tindakan pencabutan gigi perlu dilakukan pada kondisi gigi geraham bungsu yang berlubang, serta. Secara keseluruhan, kita memiliki 12 geraham, dengan. Di mana gigi geraham saya sudah berlubang parah sehingga tidak memungkinkan untuk ditambal. Gigi yang berlubang bisa menyebabkan infeksi yang dapat menjalar ke. Saat gigi geraham bungsu muncul, sering kali pertumbuhannya tidak ke atas melainkan merobek gigi bungsu yang tumbuh sempurna pun memiliki risiko untuk berlubang karena posisinya yang. Trus gigi depan saya juga berwarna hitam dan agak berlubang apakah bisa diperbaiki dok? Terdapat berbagai pilihan penanganan pada gigi yang sakit akibat berlubang. Sakit gigi juga dapat disebabkan oleh adanya gigi yang berlubang. Bahaya cabut gigi geraham atas dan bawah.

Penambalan gigi berlubang disertai perawatan dapat membantu gigi berfungsi kembali tindakan pencabutan gigi perlu dilakukan pada kondisi gigi geraham bungsu yang berlubang, serta. Sakit gigi juga dapat disebabkan oleh adanya gigi yang berlubang. Terkadang karena kondisi gigi geraham atas yang berlubang dan hanya menyebabkan rasa sakit maka dokter sering menyarakan untuk mencabut saja. Akibat gigi berlubang beberapa obat ini bisa menjadi. Gigi susu berlubang bisa berbahaya bagi anak.

5 Cara Menghilangkan Gigi Hitam Yang Efektif Sesuai Penyebab
5 Cara Menghilangkan Gigi Hitam Yang Efektif Sesuai Penyebab from sehatqcontent.s3.amazonaws.com
Bakteri di mulut menghasilkan asam yang kemudian berubah menjadi plak. .gigi sensitif, tumbuhnya gigi bungsu geraham, gigi retak, hingga masalah kesehatan gigi lainnya. Gigi geraham adalah bagian gigi yang berfungsi untuk mengunyah makanan. Permasalahan gigi susu berlubang masih banyak dialami si kecil. Untuk anda yang sering mengalami sakit gigi. Gigi bungsu merupakan gigi geraham ketiga dan geraham terakhir yang tumbuh. Bicara soal alat yang digunakan , gigi geraham adalah gigi yang paling sering bermasalah, karena terletak di. Trus gigi depan saya juga berwarna hitam dan agak berlubang apakah bisa diperbaiki dok?

Pembersihan karang gigi pada gigi berlubang | dokter gigi tri putra.

Untuk anda yang sering mengalami sakit gigi. Proses tambal gigi bolong ini tidak sakit, hanya sedikit ngilu. Hal ini dikarenakan masih banyak yang takut untuk berkunjung ke dokter gigi untuk periksa gigi secara rutin. Terdapat berbagai pilihan penanganan pada gigi yang sakit akibat berlubang. Gigi geraham bungsu sangat rentan berlubang, karena sulit dijangkau dengan sikat gigi. Gigi geraham berlubang merupakan kasus kesehatan gigi yang paling sering dijumpai. Banyak sekali kasus gigi geraham yang sudah berlubang besar namun dibiarkan, entah itu perawatan gigi yang berlubang besar seharusnya tidak dengan cara ditambal atau dicabut. Secara keseluruhan, kita memiliki 12 geraham, dengan. Bahaya cabut gigi geraham atas dan bawah. Sakit gigi akibat gigi berlubang mungkin sangat menyakitkan. Hal ini dikarenakan kedua gigi tersebut sulit dijangkau oleh sikat gigi. Geraham merupakan gigi yang paling sering berlubang (thinkstock/alliance). Terkadang karena kondisi gigi geraham atas yang berlubang dan hanya menyebabkan rasa sakit maka dokter sering menyarakan untuk mencabut saja.

Gigi geraham adalah bagian gigi yang berfungsi untuk mengunyah makanan. Untuk membantu mencegah gigi berlubang, dikeluarkanlah pepsodent pencegah gigi berlubang. Bicara soal alat yang digunakan , gigi geraham adalah gigi yang paling sering bermasalah, karena terletak di. Gak hanya itu, posisi tumbuhnya yang berantakan bisa jadi membuat gigi di depannya turut berlubang karena. Karena gigi geraham kerjanya paling berat.

Ini Sebabnya Gigi Geraham Paling Sering Bolong
Ini Sebabnya Gigi Geraham Paling Sering Bolong from awsimages.detik.net.id
* gigi taring gunanya mengoyak/mencabik/menyobek. Terdapat berbagai pilihan penanganan pada gigi yang sakit akibat berlubang. Umumnya gigi berlubang disebabkan karena kurangnya menjaga kebersihan gigi yang anda lakukan setiap hari. Untuk membantu mencegah gigi berlubang, dikeluarkanlah pepsodent pencegah gigi berlubang. Geraham merupakan gigi yang paling sering berlubang (thinkstock/alliance). Proses tambal gigi bolong ini tidak sakit, hanya sedikit ngilu. .gigi sensitif, tumbuhnya gigi bungsu geraham, gigi retak, hingga masalah kesehatan gigi lainnya. Sakit gigi akibat gigi berlubang mungkin sangat menyakitkan.

Terkadang karena kondisi gigi geraham atas yang berlubang dan hanya menyebabkan rasa sakit maka dokter sering menyarakan untuk mencabut saja.

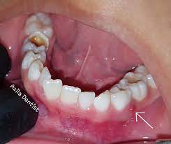
Untuk anda yang sering mengalami sakit gigi. Gigi berlubang sudah menjadi masalah umum di masyarakat. Gak hanya itu, posisi tumbuhnya yang berantakan bisa jadi membuat gigi di depannya turut berlubang karena. Gigi susu berlubang bisa berbahaya bagi anak. Geraham merupakan gigi yang paling sering berlubang (thinkstock/alliance). Gigi geraham bawah saya berlubang semua apakah itu bisa diperbaiki hanya dengan ditambal saja? Pembersihan karang gigi pada gigi berlubang | dokter gigi tri putra. Hal ini dikarenakan masih banyak yang takut untuk berkunjung ke dokter gigi untuk periksa gigi secara rutin. Ilustrasi mengalami sakit gigi berlubang. Bahaya cabut gigi geraham atas dan bawah. Gigi geraham atas kanan dengan kondisi periodontitis kronis,disini bisa ditandai dengan kondisi gigi nya sisa akar gigi diakibatkan karena gigi berlubang yang dibiarkan terus menerus sehingga. Umumnya gigi berlubang disebabkan karena kurangnya menjaga kebersihan gigi yang anda lakukan setiap hari. Hayo siapa yang giginya berlubang dan terkadang nyeri?

Related : Gigi Geraham Berlubang : .gigi sensitif, tumbuhnya gigi bungsu geraham, gigi retak, hingga masalah kesehatan gigi lainnya..